How depression changes our brain
Dr. Lejla Colic studied at the Faculty of Natural Sciences and was a member of the "CRC 779 Graduate School". For her outstanding work, she was honored with the doctoral award of the University of Magdeburg. We talked to her about her dissertation, her motivation and her future.
The CANLAB group of Dr. Colic in the 7T scanner (left to right: Petya Vicheva, Lena Vera Danyeli, Dr. Zümrüt Duygu Sen, Prof. Martin Walter (Leiter), Julia Scheerer, Dr. Lejla Colic / Copyright: LIN Magdeburg)
What did you write your dissertation about?
Depression and similar affective disorders are common mental health problems with some estimates saying that 1 in 7 people worldwide will experience depression once in their lifetime. Depression can seriously interfere with life activities. Unfortunately, not all individuals respond to current treatments and we still do not know why. In my dissertation, I tried to answer some of these questions. With the help of magnetic imaging, a non-invasive method to investigate the human brain, I looked at differences in neurometabolites, and brain response between participants with and without depression. I investigated brain changes after giving a pharmacological treatment - ketamine, which is a new and promising type of medication for depression. I also focused on investigating which personality traits or genetic variants could be risk factors to develop depression or similar disorders.
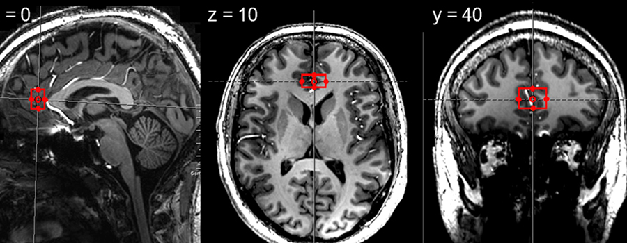
Illustration: Region called pregenual anterior cingulate cortex where we measured neurometabolites in healthy participants and in participants with major depressive disorder.
What benefit does your research have for mankind?
Most of the research today relies on global collaborative work over many years. The progress that is made in understanding and treatment, especially of complex disease such as psychiatric diseases, can often be acknowledged retrospectively. I hope that results from my thesis help lay foundation for detecting biomarkers that may become factors for treatment decisions and better response in persons with MDD. I am delighted and proud that my results contributed to further research projects, an EU-funded study in Jena and a combined ketamine-psychotherapy clinical trial in Tübingen and Jena.
What do you find exciting about your field of research?
I am very motivated and excited to be emerged in the field of translational research. I enjoy working in multidisciplinary teams on challenging research questions that require broad knowledge. I was fortunate to work at the interface between OVGU, LIN institute and Medical campus. This allowed me to continuously learn about new methodological approaches, findings from basic and animal research, but at the same time keep perspective of the applicational potential, and urgent clinical questions. The field is dynamic, and there are big challenges ahead - like using machine learning methods or move towards precision psychiatry - that are stimulating for young researchers like me.
What realization has surprised you the most so far?
Often, when we talk about psychiatric conditions, for example depression, we imagine a single unit that has maybe a few causes, and can ideally be treated quickly if we discover what it’s biological causes are. The slow realization about the complexity of mental health, the variation of symptoms and clinical manifestation within a disorder that reflect the plurality of biological, familial, and social causes is captivating and humbling at the same time. Although this realization may seem trivial to experienced scientists, I hold it is important to share it with the public in order to legitimize research efforts and explain why some treatments may work for some, but not others.
Illustration: Relationship between changes in neurometabolites and blood biomarkers after ketamine infusion in healthy participants.
What does the award mean to you?
There are many great scientist and dissertation every year at the FNW, OVGU so I am honoured and happy that the University recognized the importance of the topic of biological and translational psychiatry and my work in this field. This award gives me further encouragement to continue working in multidisciplinary teams in the field of mental health.
What's next for you now?
I am currently a post-doctoral researcher in the Mood Disorders Research Program in Yale School of Medicine. There I am broadening my knowledge on bipolar disorder, and continuing to investigate brain changes using MRI, with special focus on childhood maltreatment, adolescence, and suicidal thoughts and behaviours. I am involved in MQ-funded international cooperation “Help Overcome and Predict the Emergence of Suicide (HOPES) project” where we use brain scans and traits to identify risk-factors for suicide in young people with affective and other brain disorders.